Pružamo najbolji tretman samo za Vas

Bezbolne procedure i pažljiv pristup.

Naš tim

Stručnost, preciznost i toplina u pristupu. Upoznajte doktore koji vode brigu o vašem osmehu – od prve konsultacije do završnog rezultata.

Digitalno planiranje Bezbolne procedure Individualni plan terapije
dr Kristina Mijailović

dr Kristina Mijailović

Opšta stomatologija

Fokus na prevenciji i minimalno invazivnim zahvatima. Veruje da dobar razgovor i jasna objašnjenja smanjuju strah i vode do boljih rezultata.

1.5k+
pacijenata
Bezbolno
lokalna anestezija
Dijagnostika
RTG / 3D
dr Milan Mijailović

dr Milan Mijailović

Specijalista protetike

Napredne protetske rehabilitacije i funkcionalno-estetska rešenja. Digitalne probe i precizna izrada za dugoročnu stabilnost.

Digitalno
planiranje
CAD/CAM
izrada
Mikroskop
preciznost
dr Ružica Brajović

dr Ružica Brajović

Specijalista oralne hirurgije

Bezbedne i efikasne hirurške intervencije sa posebnim akcentom na komfor pacijenta i brži oporavak.

1k+
zahvata
Implanti
All-on-X
Sedacija
po potrebi

Iskustva pacijenata

Topla briga, jasna komunikacija i bezbolni tretmani — uvek u službi vašeg osmeha.

G
4.9
(144) • Google recenzije

Dunja Sekulic

pre 3 nedelje

Vrlo ljubazno i profesionalno osoblje. Posebno bih zahvalila dr Ruzici na posevecenosti, dobroti i efikasnosti pri resavanju mog problema. Sve preporuke

Pročitaj više

Danijela Mihić

pre 1 mesec

★★★★★

Odlična ordinacija! Posebno bih pohvalila pristup deci – puno strpljenja, pažnje i topline. Za mene je poverenje u stomatologa najvažnije, a ovde ga imamo u potpunosti. Kristina, Ruža i Milan su sjajni, imaju jako prijatan, a profesionalan odnos kako sa odraslima, tako i sa decom. Preporuka od srca!

Pročitaj više

Nikolija Simić

pre 1 mesec

★★★★★

Izuzetno ljubazno i profesionalno osoblje! Sve su mi lepo objasnili, tretman je bio potpuno bezbolan, a atmosfera prijatna. Topla preporuka za svakoga ko traži pouzdanu stomatološku ordinaciju.

Pročitaj više

Tijana Vukić

pre 1 mesec

★★★★★

Profesionalan tim mladih i stručnih doktora! Radila sam izbeljivanje zuba i prezadovoljna sam!

Pročitaj više

Zoran Pešić

pre 1 mesec

★★★★★

Zahvaljujući doktorki Ružici Brajović nemam više strah od zubara, veliko hvala.

Pročitaj više

Marija Minić

pre 1 mesec

★★★★★

Sve preporuke za organizaciju rada. Preporuke za dr Anu, ortodonta, koja je mom detetu ispravila zube u roku od godinu i po dana. Posebno hvala dr Kristini i Ružici na njihovom pristupu i pozitivnoj energiji.

Pročitaj više

Naš rad

Od prvog pregleda do finalnog osmeha – svaka faza je dokumentovana i rađena sa maksimalnom pažnjom.

  • Digitalne analize
  • Precizna izrada
  • Dugoročna stabilnost
G
4.9
Google ocena • (144)

Poverenje koje gradimo pažnjom i transparentnošću.

VIDEO
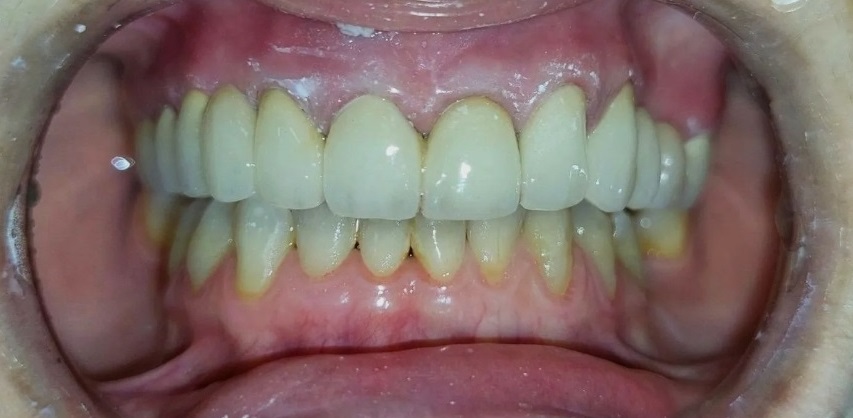
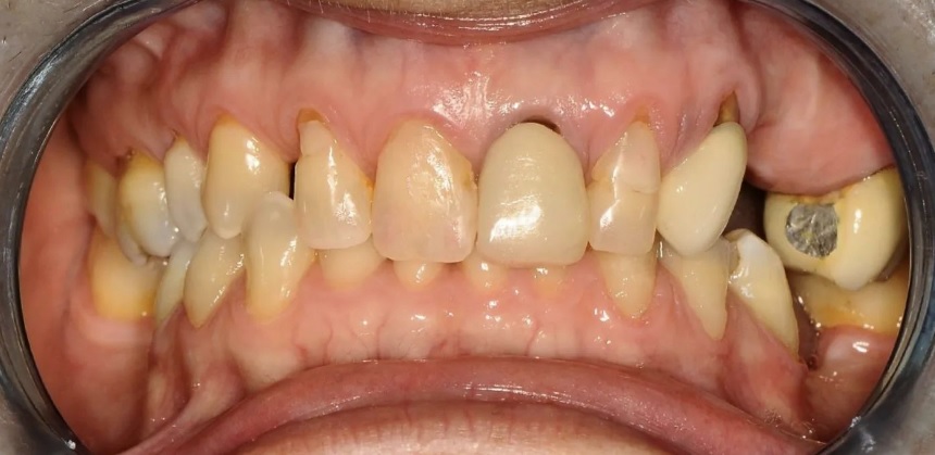
Pre Posle

Pogledajte kompletnu galeriju slučajeva — pre / posle, protetika, estetika i više.

Pogledajte još radova
Implantologija

Kompletna stomatološka nega

Savremene procedure i personalizovani planovi terapije za svaki osmeh.

Zakažite pregled
Implantologija

Implantologija

Precizno ugradimo titanijumske implantate i vraćamo potpunu funkciju.

Idealno za: nedostatak jednog ili više zuba • fiksna rešenja
Protetika

Protetika

Krunice i mostovi visokog kvaliteta uz prirodnu estetiku.

Materijali: cirkon, litijum-disilikat, metal-keramika
Estetska stomatologija

Estetska stomatologija

Fasete, beljenje i konturisanje — osmeh koji odiše samopouzdanjem.

Brzi tretmani: 1–2 posete, minimalno invazivno
Ortodoncija

Ortodoncija

Fiksne i providne proteze — precizno poravnanje zuba.

Opcije: klasične bravice • aligneri
Endodoncija

Endodoncija

Mikroskopska obrada kanala i bezbolno spašavanje zuba.

Tehnike: mašinska obrada • toplom gutaperkom
Dečja stomatologija

Dečja stomatologija

Preventiva i terapija uz strpljenje i igru.

Fisure sealant • fluoridacija • navike

Kako do nas

Video uputstvo, mapa i direktni kontakt

Video vodič

Pogledajte put do ordinacije

Mapa

Pronađite nas na Google mapama

Kontaktirajte Nas

Zakažite ili pitajte sve što vas zanima